Get To Know Dr.Aditya Kaja

Dr Aditya specialises in Revision Joint Replacement and Robotic Joint replacement surgery. He is one amongst the youngest person to have the prestigious FRCS in Orthopaedics. He has has sub specialist training and gained fellowships in England with special interests in complex hip and knee joint replacement surgery. Knee and shoulder injuries and Arthroscopic surgery. Bone and joint infections. Failed fracture surgery. He has had fellowship from South Korea in treating bone infections and complex fracture surgery.

Information

Follow Us

Chief Orthopaedic Surgeon | Advanced Joint & Trauma Care

Delivering
World Class,
orthopaedic care with precision

UK-trained orthopaedic specialist bringing
global standards of care to your doorstep.

# 01 Patient-Friendly
# 02 Tech + Trust Angle
# 03 Moving You Forward ,One Step at a Time
# 04 Expert orthopaedic solutions

What we do

We provide expert complex orthopaedic care combining advanced technology
surgical precision
and compassionate patient support.

Our focus is on delivering precise, safe, &
evidence-based orthopaedic care that restores mobility without unnecessary procedures.

10+

01

Years of
Experience

We have had quite a run in our
12+ years of working.

5000+

02

Surgeries
in Entire Career

One of the very few surgeons to have gained FRCS in Trauma & Orthopaedics at a very young age across the globe

Top 10%

03

One of the few Doctors
to complete FRCS Orthopeadics at an early age.

Our Projects

Recent Surgeries

We’ve helped thousands of patients get back on their feet.
Here are some of our successful treatment journeys.

What we do

Services.

Get Started

Get International quality joint replacement service trained by England surgeons at very low and affordable cost.

Modern technology along with modern implants with best in class orthopedic care at very low price and affordable

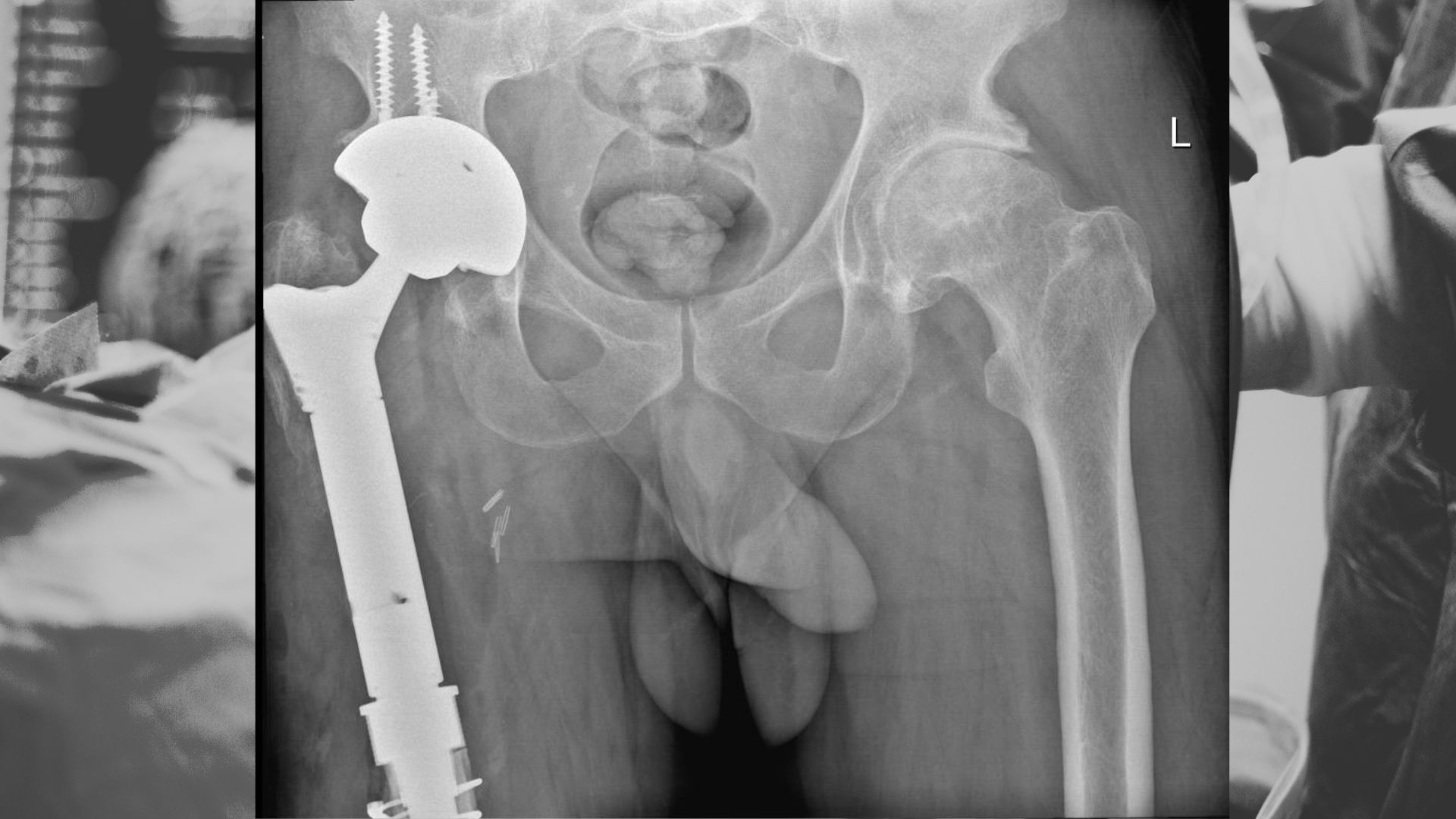
Complex and difficult failed hip replacement surgery revised and reconstructed with an excellent outcome

Robotic arm assisted shoulder arthroscopy surgery with 4K arthroscopic equipment

Our Projects

Certifications

(2016-Present)

(001)
Trusted Orthopaedic Specialist
Excellence in Joint Care
2023
(002)
Leading Trauma Surgeon
Advanced Fracture Management
2022
(003)
Expert in Joint Replacement
Knee • Hip • Shoulder
2024
(004)
Pioneer in Modern Orthopaedics
Minimally Invasive Techniques
2025